У 15-летнего подростка из Владимира нашли опасную быстрорастущую опухоль мозга

Ребенок поступил во владимирскую ОДКБ с жалобами на затрудненное дыхание через нос и обильное носовое кровотечение.

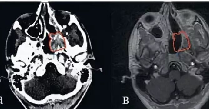
Ребенок поступил во владимирскую ОДКБ с жалобами на затрудненное дыхание через нос и обильное носовое кровотечение. Врачи поставили жутковатый диагноз – юношеская ангиофиброма основания черепа. Об этом сообщили в сообществе больницы во «ВКонтакте».

Медики отправили пациента в Федеральный центр имени Рогачева, где мальчику сделали операцию. Сейчас его уже выписали, ребенок будет долечиваться в ОДКБ.

Юношеская ангиофиброма основания черепа – это доброкачественная опухоль, которая чаще всего встречается у мальчиков-подростков 9-19 лет. Опухоль опасная, агрессивно растущая. Основные симптомы: затруднение носового дыхания, кровотечения из носа, нарушения слуха, деформация лицевого скелета, зрительные и глазодвигательные нарушения. Ангиофиброма может привести к смерти.

Ранее владимирские врачи спасли тяжело больную туберкулезом беременную женщину. Медикам пришлось сделать ей кесарево, чтобы спасти ее и ребенка.

Фото: ОДКБ

Последние новости

Как выбрать идеальный домашний ковер: советы для тех, кто запутался в вариациях

Практическое руководство по материалам, стилям, размерам и нюансам ухода

Муромская городская прокуратура принимает меры по ограничению доступа к сайтам, на которых реализуются снюсы

Муромской городской прокуратурой проведен мониторинг сети «Интернет» на предмет незаконной реализации снюсов (жевательного табака).

Мы помним. Мы гордимся. Василий Иванович Сироткин

Василий Иванович родился 6 мая 1925 года в деревне Арефино Красно-Баковского района Горьковской области в крестьянской семье.

Когда скидки превращаются в ловушку: как маркетологи учат нас тратить

Почему “-50% только сегодня” не всегда значит выгоду, как скидки играют на эмоциях и почему даже рациональные люди становятся жертвами маркетинговых трюков.

Здесь вы можете узнать о лучших предложениях и выгодных условиях, чтобы купить квартиру в Черногорске

Комментарии (0)

Добавить комментарий

Ваш email не публикуется. Обязательные поля отмечены *