Во Владимире врачи спасли жизнь юному пациенту с опасным заболеванием
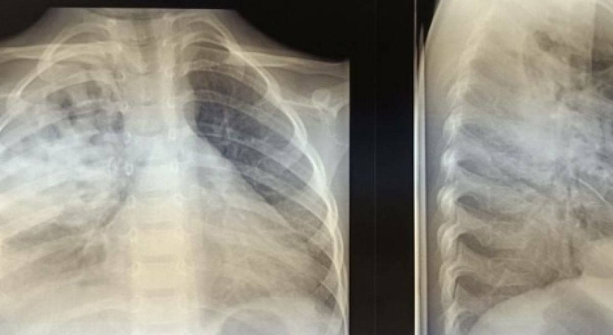
Владимирские врачи вылечили ребенка от тяжелой формы гнойной пневмонии Врачи-педиатры смогли поставить на ноги ребенка с тяжелой формы пневмонии со скоплением гноя и воздуха в плевральной полости,
Врачи-педиатры смогли поставить на ноги ребенка с тяжелой формы пневмонии со скоплением гноя и воздуха в плевральной полости, рассказали в областной детской клинической больнице.
По словам медиков, потребовалось проведение дренирования плевральной полости. Затем юному пациенту назначили физиотерапию и подобрали терапию. В настоящее время малыш уже выписан домой.
Врачи также добавили, в раннем возрасте смертность от данного заболевания относительно высока.
Напомним, ранее сообщалось , что во Владимирской области для спасения подростка понадобился вертолет.
Автор: Михаил ЛомоносовАвтор: Областная детская клиническая больница города Владимира, источник фото .
Последние новости

Муромская городская прокуратура принимает меры по ограничению доступа к сайтам, на которых реализуются снюсы
Муромской городской прокуратурой проведен мониторинг сети «Интернет» на предмет незаконной реализации снюсов (жевательного табака).

Мы помним. Мы гордимся. Василий Иванович Сироткин
Василий Иванович родился 6 мая 1925 года в деревне Арефино Красно-Баковского района Горьковской области в крестьянской семье.
Спорт и чистота – отличный дуэт! Присоединяйся к Спортивной школе!
Сегодня сотрудники МБУ ДО СШ провели традиционный весенний субботник на прилегающей территории.
Герои‑невидимки: 10 мест, где вы сталкиваетесь со стойками СОН ежедневно
Железобетонные стойки СОН окружают нас повсюду — даже если мы не знаем, что это они